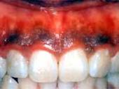
歯茎のくろずみ
こんにちは!!
ボランチこと石川です( ・∇・)
喫煙されている方必見です!!!
喫煙していると、個人差もありますが歯茎が黒ずんできてしまうと思います。

当院では、そんな黒ずんでしまった歯肉を、健康な元のピンク色に近づける、歯肉ピーリングを行っています♪
歯肉ピーリング中は、当院では片側ずつ行っていますv(・∀・*)
特に女性の方にオススメします*
歯茎の黒ずみを気にされている方、お気軽にお声かけくださいね(*^^*)
2014年10月14日 00:00
成田市の歯医者のそらクリニックではマウスピース矯正、ホワイトニングに力を入れています。

スマートフォンからのアクセスはこちら