マウスピース矯正の治療期間と結果の違い:当院の事例紹介
成田市の歯科医院、歯医者のそらクリニック、
皆さんの中には、
「マウスピース矯正に興味があるけど、
「マウスピース矯正で歯並びって本当にきれいになるの?」
と、疑問をお持ちの方もいらっしゃるのではないでしょうか。
今回は、治療期間の目安、
【マウスピース矯正の治療期間】
全体矯正では、個人差がありますが
おおよそ1年〜2年半ほど治療期間に時間を要します。
部分矯正の場合はそれよりも短く、2か月〜
矯正が終わった後は、後戻り防止のためリテーナーを装着します。
矯正装置を外したばかりの歯は、
そのため、治療する前の位置に戻ろうとする後戻りが起こってしま
その保定装置を装着する期間は2〜3年ほどで、
一生リテーナーを装着する必要のある方もいれば、
【矯正期間が短くなるケース】
・すきっ歯
・軽度のガタガタとした歯並び
歯と歯の間の隙間を埋めるのは、
すきっ歯や軽度のガタガタとした歯並びで、
【矯正期間が長くなるケース】
・抜歯を行う必要がある場合
・重度のガタガタとした歯並び
・奥歯を噛み合わせたときに前歯が噛み合わない状態の歯並び(
動かす歯が多い場合や、
また、医院によっては抜歯が必要な歯並びの場合、
【矯正期間が想定していた期間より長期化するケース】
・マウスピースを装着する時間が短い
・マウスピースを適切に装着できていない
・矯正ゴムを付ける時間が短い
・虫歯や歯周病で矯正治療が中断されている
マウスピースを装着する時間が短い
マウスピースは、着脱可能な矯正装置のため、ブランドによって推奨されている装着時間は異なりますが、
装着時間が短かったり、
食事中や歯磨きのとき以外は、マウスピースを装着しましょう。
マウスピースを適切に装着できていない
マウスピースは正しく装着する必要があります。例えば、
歯が誤った方向に動いてしまうと、
矯正ゴムを付ける時間が短い
マウスピース矯正では、ゴムかけは、噛み合わせの調整や、
ずっと同じゴムを使用していると、ゴムが伸びてしまい、
1日1回はゴムの交換をしましょう。
虫歯や歯周病で矯正治療が中断されている
虫歯や歯周病にかかってしまうと、矯正治療を中断すると、治療期間もその分長引いてしまいます。
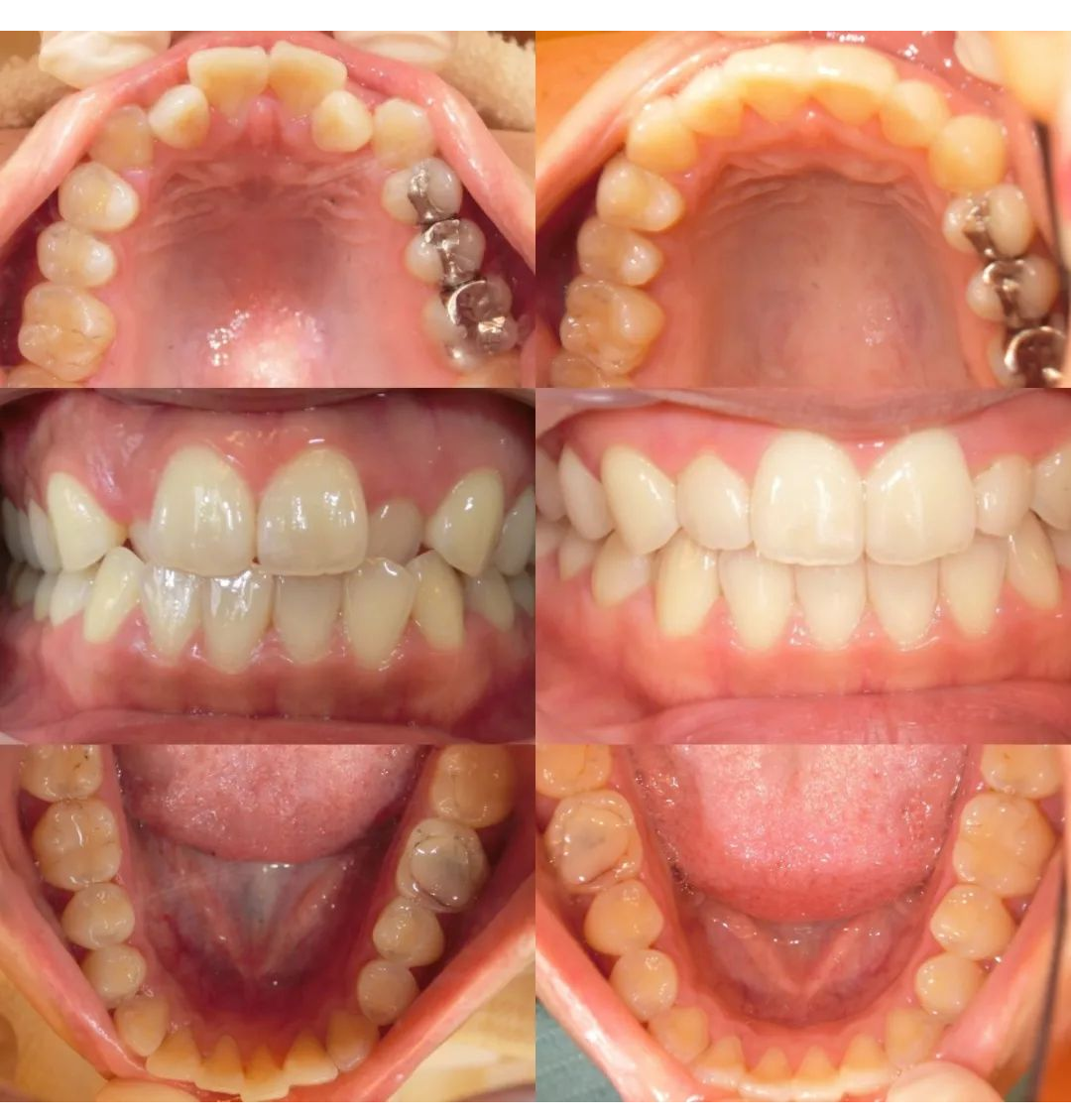
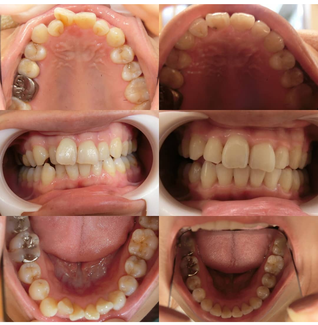
【実際に当医院でマウスピース矯正を行った患者様の事例紹介】

主訴
叢生(歯の重なり)が気になる
治療期間
1年半ほど

主訴
上顎前歯の傾きと、叢生(歯の重なり)が気になる
治療期間
1年半ほど
当医院のLINEのトーク欄に
①お名前
②初診or再診
②ご年齢
③診察のご希望日時
④親知らずを抜歯済か未抜歯か(ご不明な方は空欄でも大丈夫です)
⑤今現在の歯のお写真
を送っていただけるとスムーズにご対応ができます!
インスタグラムに当医院でマウスピース矯正を行った患者様の事例を投稿しております。ご参考くださいませ。
もっと詳しい説明が聞きたいという方はLINEで無料相談も行っておりますので、ぜひお気軽にお問い合わせください。
歯医者のそらクリニックでは、
ネット予約またはLINEで簡単ネット予約も可能です。
本格的に矯正を考えている方はもちろん、ちょっと相談だけしたい方、歯並びが気になる方も
どうぞお気軽にお問い合わせください。
2024年08月27日 10:00












